

当院で行ったインプラントの治療例をご紹介します。
治療を受ける際のご参考にしてください。
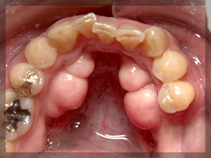
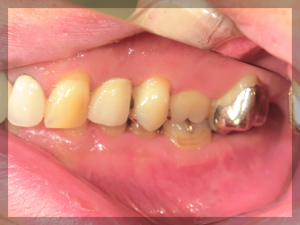
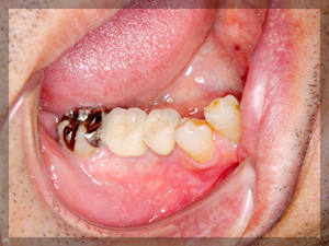
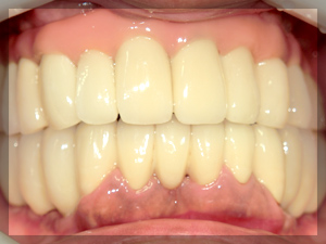
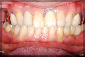
| 治療前 | 治療後 | |
![]() |
![]() |
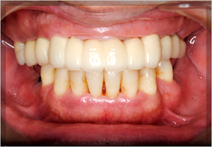
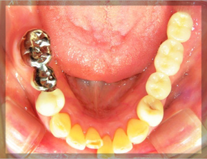
| 治療前 | 治療後 | |
![]() |
![]() |
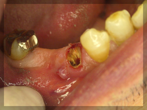
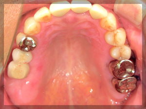
| 治療前 | 治療後 | |
![]() |
![]() |
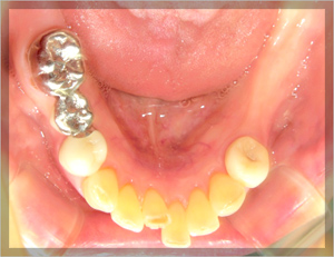
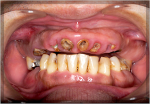
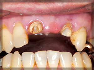
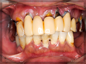
| 治療前 | 治療中 | |
![]() |
![]() |
| 治療後 | ||
![]() |
||
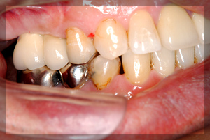
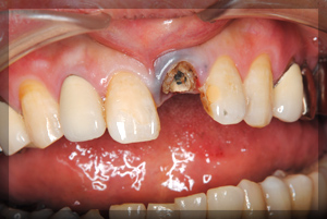
| 治療前 | 治療後 | |
![]() |
![]() ![]() |
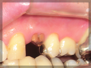
| 埋入前 | 埋入1か月後 | |
![]() |
![]() |
| 上部構造セット | ||
![]() |
||
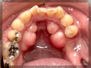
| 治療前 | 治療後 | |
![]() |
![]() |
| 治療前 | 治療後 | |
![]() |
![]() |
| 治療前 | 治療後 | |
![]() |
![]() |