


インプラント治療には多数の術式があり、なかには大掛かりな骨の造成が
必要なため患者様に経済的、身体的、時間的に多大な負担を
お掛けしてしまう術式もございます。当院では、患者様により安全に
インプラント治療を受けて頂くために、世界最先端を行く
スウェーデン王立イエテボリ大学ヤン・リンデ教授のお考えに則り、
科学的根拠に基づいた極力シンプルで身体的、経済的な負担が少ない
患者様に優しいインプラント治療を 心がけております。
インプラント治療は欠損している周囲の歯に負担をかけずに
修復できる治療法です。他の修復法だと、少なからず他の歯に負担を
求めなくてはならず、支えとなる歯の虫歯や歯周病、
破折を引き起こすことがあります。
万が一支えとなる歯にこういったトラブルが起こってしまうと、
最悪支えとなる歯まで抜歯に至ってしまうことになりかねません。
こうして歯が無くなっていく方は以外に多いのです。
当院では、こうした欠損部の拡大を防ぐためのインプラント治療を
実践しております。
当院では歯の保存を第一に考え、安易な抜歯は絶対にお勧めしません。
可能な限りご自身の歯を残し、ご自身の歯を利用した治療を心がけます。
当院で抜歯、インプラント治療をお勧めする場合は、以下の場合に限ります。

インプラント治療はたくさんのメリットがある分、リスクもある治療です。
また、治療費も高額となることが多く、治療前に十分な説明を受けて頂く事が重要です。
当院では患者様が少しでも安心して治療を受けて頂けるよう、カウンセリングを無料にて行っております。
治療内容や費用に関して、ご理解・ご納得いただくまで、何回でも丁寧にカウンセリング致します。
CT診断による簡易診断、治療見積もり書の作製まで無料で行い、
なるべく複数の治療法をご提示させて頂いた上で、ご納得頂いた治療法をご選択頂くよう心がけます。
![]() |
![]() |
|
| 無料カウンセリング | 見積書の作製 |
状況によってはインプラント以外の方が適している場合もございます。
当院では全身状態やお口の中の状況によってインプラントが適さないと判断した場合は
他の治療法をご提示させて頂く場合もございます。
インプラント治療を強引にお勧めすることは絶対にありません。
他の治療法と照らし合わせて検討したいという方も是非お気軽にご相談下さい。
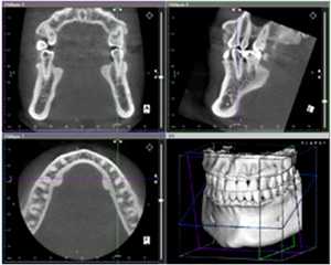
当院ではCTを完備することにより、高精度の診査、診断が可能となりました。
3次元での診断により、従来のエックス線では難しかった、口腔内の重要な組織や血管・神経の
正確な位置が把握でき、インプラント治療におけるリスクを最大限回避することが出来ます。
また、医院内に完備することにより、外部に依頼せずともCT撮影が可能となり術前診断のみならず、
必要に応じて術中、術後の撮影も可能となり、より安全にインプラント治療をご提供することが出来ます。
![]() |
![]() |
|
| 最新CTを完備しております |
インプラント治療は完全な外科処置に当たるため、何より院内感染予防対策は重要です。
当院では、インプラント手術は全て個室にて行い、器材はパックに入れたものを滅菌し、使用直前に開封します。
グローブは完全滅菌されたものを使用し、手術着を着て手術を行います。
こうした対策をとることにより、インプラント治療における感染リスクを最小限に抑えます。
![]() |
![]() |
|
| 完全個室で無菌的に手術を行います。 |
静脈内鎮静法とは、患者様の腕に点滴で鎮静剤を投与し、眠くなる状態を作る方法のことです。
インプラントの治療中の不安や緊張を軽減させる方法の一つで、
全身疾患をお持ちの方や緊張の強い方においては大変有効です。
治療中は、半分眠ったように、うつらうつらとした状態になります。
ただ、全身麻酔とは違って、意識が完全に無くなる事はありません。
治療中の記憶が無い場合もありますが、治療後にゆっくり体を休めることで
意識は次第に明瞭になってきますので心配はいりません。
インプラントの上部構造部分に当たる人工歯は非常に高い精度が求められます。
精度が劣悪な上部構造は、上部構造部分の早期の劣化やインプラント部分の感染を促すため、
インプラント周囲の感染や骨の吸収・上部構造の破損等、将来的に様々なトラブルを引き起こす
原因となってしまいます。
当院では、機能的、審美的に優れ、より高い精度の上部構造を患者様にご提供するため、
信頼のおける熟練した歯科技工士と連携を取っております。
インプラントのトラブルの原因の一つに「インプラント周囲炎」があります。
インプラント周囲炎とは、お口の中に装着したインプラントの周囲に沈着した
歯垢(プラーク)の歯周病原因菌が引き起こす病気です。
当初は自覚症状がありませんが、進行すると周囲の粘膜が感染、炎症を起こし、
更にはインプラントを支える骨まで吸収を起こして、最終的にはインプラントが脱落してしまうこともございます。
インプラント周囲炎により骨の吸収が起こった場合、確立された治療法が存在しないのが現状です。
よって、インプラントを長持ちさせるためには日常の口腔清掃と、定期的なメンテナンスが欠かせません。
当院では、歯周病について専門教育を受けた歯科衛生士による、専用機材を用いた
メンテナンスを(プロフェッショナルクリーニング)を行っております。
これにより長期的にインプラントを安定してご使用頂くことが可能です。
他院でインプラント治療を行った方のメンテナンスも対応可能ですので、ご遠慮なくお問い合わせ下さい。
![]() |
歯科衛生士による プロフェッショナルクリーニング |
![]() |
エアーフロー グリシンという超微細粒子によって、通常の器具が 到達しにくい部分のバイオフィルム(細菌の塊)を 確実に除去します。 インプラント表面を傷つけずにメンテナンスが可能です。 |
インプラントは適切なメンテナンスがなされていれば、現在は10年後に90%以上機能すると
いわれていますが、当院では、患者様に安心して治療を受けていただくために
インプラント治療に下記の保障制度を設けております。

*当院にて最低3か月に1回メンテナンスのお越しいただくことが条件です。
メンテナンスにお越しいただけない場合、保障致しかねますので、ご了承下さい。


当院ではより精度の高いインプラント治療をご提供するため、
カルシテック社製のカルシテック・インプラン及び、
スウェーデン製アストラテックインプラントを採用しています。
カルシテックインプラントの表面にはハイドロキシアパタイト
という生体活性材料がコーティングしてあり、インプラントと
顎の骨の結びつきをより強固なものにします。
一般的なものと比較しても治癒期間が早く、患者様の負担を
軽減するとして注目されているインプラント体です。
アストラテックインプラントは現在100種類以上もあると言われる
インプラントの種類のうち最も歴史があるインプラントの一つで、
30年以上に渡る信頼性の高く豊富な臨床データを有し、それに伴う
優れた臨床実績があります。
インプラント治療の欠点の一つとして治療期間が長いということが挙げられますが、
以下の方法で、治療期間を短縮することが出来ます。治療期間が少ないということは、
単に時間的な問題のみならず、患者様にかかる負担が軽減できるというメリットもあります。
歯の保存が難しい症例などに受けるインプラント治療の場合、
「歯を抜く→歯ぐきの治癒を待つ(治癒期間:3か月〜6か月)→人工歯根を埋入する」
という流れで行うため 、歯ぐきの治癒を待つ必要があり約9ヶ月から1年と治療期間が長くなっていました。
当院では抜歯と同時に人工歯根を埋入する抜歯即時埋入法にも対応していますので、
治療期間を短縮したインプラント治療が可能です。
抜歯即時埋入した場合は、抜歯してから最終的な被せものが入るまで3か月から4か月で済み、
通常より約半年も治療期間が短縮できます。
また、抜歯と一緒にインプラントを埋入するため、外科処置を1回省略出来ます。
基本的には切開せずにインプラントを埋入出来るため、ほとんど腫れや痛みがありません。


以前は骨が少なく、インプラント治療が困難といわれた方でも、現在では技術革新と豊富な臨床データにより
以前では長く機能させるのが難しいとされていたショートインプラント(短いインプラント)の使用や、
進歩した骨造成(骨を作る技術)等により、インプラント治療が可能になったケースが多々あります。
当院では、ショートインプラントや複数の骨造成法を手掛けております。
他院で治療が難しいといわれた方、是非一度ご相談下さい。

通常のインプラントは長さが10mm以上の物を使用しますが、歯周病等により骨の吸収が著しく、
歯槽骨の頂点から神経までの距離が少ない場合等、お口の中の構造上の問題として長いインプラントを
埋入するのが困難な場合、必要に応じて当院では6〜8mmの長さのインプラントを使用します。
以前はインプラントと骨の接触面積が少ないことから、持ちが悪いと言われていましたが、
最近の様々な臨床データの蓄積と技術革新により、このような短いインプラントの使用が可能となりました。
患者様に身体的にも経済的にも時間的にも多大な負担をお掛けしてしまう骨造成と違い、
組織の移植の必要がないため、患者様に対し非常に優しく、負担が少ない術式です。
また、術式が非常にシンプルなため、高い成功率を誇り、長きに渡り安心して御使用頂けます。


上顎のインプラント治療において行う骨の造成法です。
上顎には上顎洞という空洞があり、不用意に上顎洞を傷つけると術後上顎炎(蓄膿症)となってしまう
恐れがあります。こういった後遺症を防ぐために、骨造成が必要な場合があります。
当院では、上顎洞まで骨がなく骨造成が必要な場合、ソケットリフトという治療法を行っております。
若干切開を加え、歯肉を開いた後に上顎洞少し手前まで骨に穴を開け、骨の補填剤にて上顎洞を押し上げます。
患者さんへの負担も少なく、後述するサイナスリフト法より術後の腫れや痛みも少なくて済みます。

![]() |
![]() |
|
| 術前CT | 術後CT |
ソケットリフトと同様、上顎のインプラント治療において行う骨の造成法です。
頬の方の歯肉に大きく切開を加え、歯肉を大きく開き、上顎洞の外側に窓を開けて、
明視野で手術を行うもので、広範囲にわたる対応も可能です。
技術レベルの差が治療結果に反映されやすく、ソケットリフトに比べ
傷口が大きいため術後の疼痛や腫れが出やすい治療法と言えます。

インプラント治療が困難な場合に行う、骨の再生を図る治療のひとつです。
骨も歯肉と同じように回復していきますが、歯肉の回復速度のほうが速いため、
本来であれば骨があるべきスペースも歯肉が埋めてしまうのです。
そこでGBRでは、骨が不足している箇所に粉砕した自家骨もしくは
骨補填材を設置し、その上に人工膜を置いて骨の再生スペースを確保して
骨のスムーズな再生を促し、十分な骨の幅を確保した上で
インプラントを埋入します。
ガイデッド・サージェリーとは、CTで得られた情報を元に、
インプラント埋入のプランニングソフトで、より正確にシミュレーションを行い、
無切開無痛手術の安全性を更に向上させた手術方法です。
